Kron

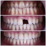
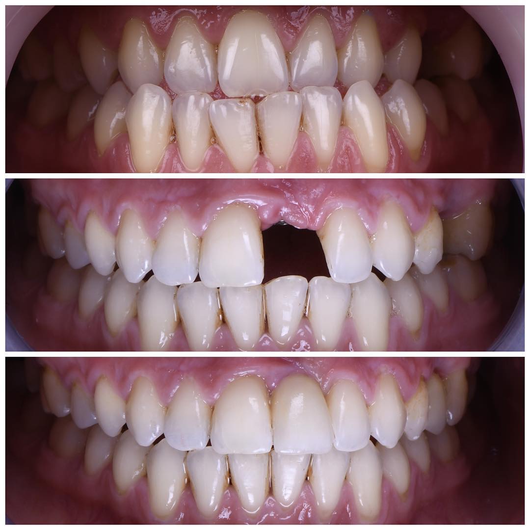
- Kron yani kaplama yöntemi dişlerin ağız içinde görünen kısımlarının düzeltilmesidir.
- Kaplama, şekil ve ağız içi pozisyon bozukluğu olan ve ortodontik tedaviye başvurulmayan dişlerde
- Dolgu malzemesi ile tedavi edilemeyecek büyüklükte doku kaybı olan dişlerde
- Kanal tedavisi nedeniyle kırılgan hale gelen dişlerin korunmasında,
- Renkleşmesi ağartıcı ajanlarla tedavi edilemeyen dişlerde
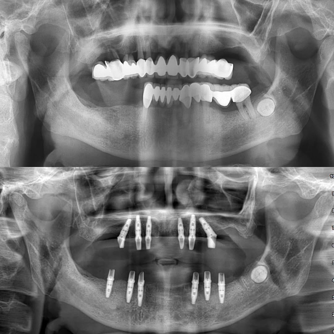
- İmplant üstü protez olarak da kaplama uygulanabilir.



