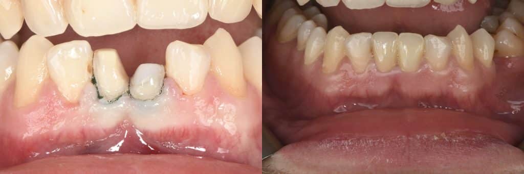
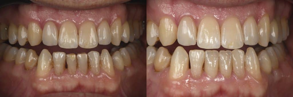
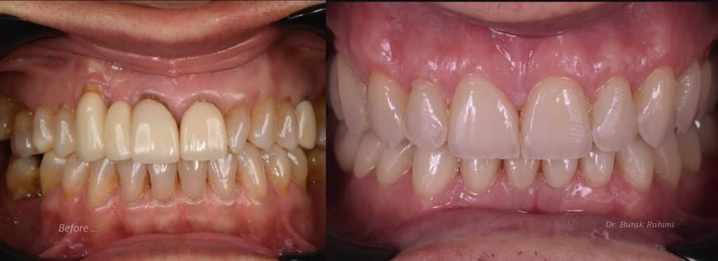
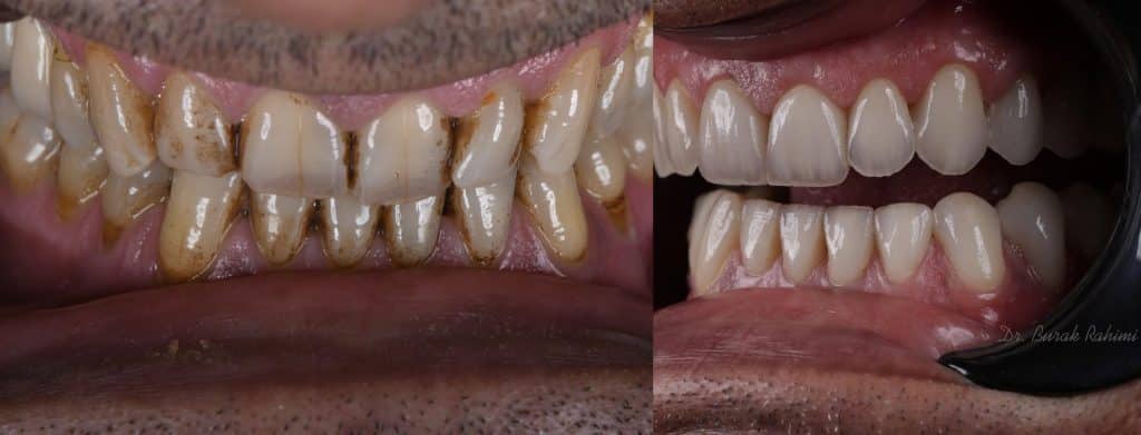
Laminate Veneerler (yaprak porselen)

Dişlerin sadece ön kısımlarından minimum düzeyde aşındırma yapılarak hatta bazı durumlarda hiçbir aşındırma yapmaya gerek duymayıp dişlerinize hiçbir müdahale etmeden neredeyse yaprak inceliğinde porselenleri özel yapıştırıcılarla dişlere adapte etmek mümkündür. İçerisinde metal veya zirkonyum alt yapı barındırmadığından ışık geçirgenliği yüksektir böylece doğal dişe en yakın görünüm sağlanmış olunur. Ayrıca özel fırınlardan geçirilerek cilalanması aşınma direncini arttırır. Cilalarının çok uzun süre dayanıklı olması üzerinde leke oluşmasına izin vermez böylece plak birikimi zorlaşır. Dişeti ile birleşim yeri olan kole bölgesinde geçişler çok uyumludur. Yaprak porselen diş estetiği tedavisinde önemli bir yere sahiptir.
Laminate veneerler hangi durumlarda kullanılır?
- Beyazlatma (bleaching ) ile sonuç alınamayan vakalarda,
- Ön dişlerinde aralık (diastema) bulunan vakalarda,
- Kırık sonucu madde kaybı olan vakalarda,
- İleri derecede antibiotik tedavisi görüp dişlerinde renkleşme meydana gelen vakalarda,
- Flourosis vakalarında,
- Herhangi bir sebebe bağlı aşınma oluşan ve dikey boyutunun kaybetmiş olan vakalarda,
- Rengi bozulmuş dolguların değiştirilmesi gerektiğinde,
- Çapraşık ve eğri dişlerin düzeltilmesi gerektiğinde (böyle durumlarda öncelikli tedavi ortodontik tedavidir, fakat bazen hastalarımız tedavi süresinin uzun olması sebebiyle laminate veneerleri tercih edebilmektedirler)
İnley /Onleyler
- Diş estetiği amaçlı kullanılan diğer bir operasyon olan inley/onleyler dolgu ile kuron kaplama arasındaki çözüm diye tanımlanabilirler. Dişinizde fazla madde kaybı varsa, dolgu tarafından desteklenemeyecek düzeydeyse ve dişte kuronla kaplanacak düzeyde kayıp yoksa tercih edilir. Dayanıklılığı çok yüksek olduğundan yıllarca zarar görmeden ağızda kalabilir. Tedavi 1-2 seans kadar sürebilir. İlk seansta çürük temizlenir gerekli ölçü alındıktan sonra ölçü laboratuvara gönderilir. İkinci randevuda laboratuvardan gelen inley/onleyin provası yapılır ve cilalanarak özel yapıştırıcılarla dişe yapıştırılır.
- Duruşunuzu ve tarzını bütünleyen bir görünüm için dişlerinizin sağlıklı ve estetik olması önem taşır. Size özel estetik diş hekimliği çözümlerimizle gülümsemenizi saklamayın.


